Показати матеріали по тегу: перелом

Середа, 04 серпня 2021 20:49

Остеосинтез переломів

Кожна травма має свої особливості та потребує індивідуального підходу. Тактика лікування та алгоритм дій при переломах кісток залежать від типу перелому, супутніх захворювань, способу життя та віку пацієнта, фізіологічних особливостей його організму. 
Досвідчені ортопеди-травматологи МЦ «Медхауз»  досконало володіють усіма методами оперативного втручання на опорно-руховому апараті. Одним з них є остеосинтез. Виняткова майстерність наших фахівців і досконале володіння технікою остеосинтезу будь-якої складності, допомогло зберегти повноцінне якість життя сотням пацієнтів зі складними переломами та іншими травмами.

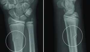
Перелом саме променевої кістки є найпоширенішим травматичним пошкодженням передпліччя. 

У 90% випадків причиною перелому є падіння на витягнуту руку.

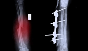
Гомілка - це частина ноги людини від коліна до стопи, яка складається з великої та малогомілкової кісток.

Перелом гомілки може трапитися внаслідок, до прикладу, падіння чи сильного удару.

Стегнова кістка є найбільшою і найміцнішою кісткою у людському тілі. Її переломи можуть траплятися під час падінь, нещасних випадків, падінні важких об’єктів на ногу. Збільшує ризик перелому дегенеративна хвороба кістки, наприклад остеопороз, який спричиняє втрату міцності і щільності кісток.

Copyright © 2026 Медичний центр MEDHOUSE. Всі права захищені.