Такий перелом викликає жахливий біль та супроводжується хрускотом. Через певний час з’являється набряк, людина не може стиснути руку в кулак чи що-небуть взяти.
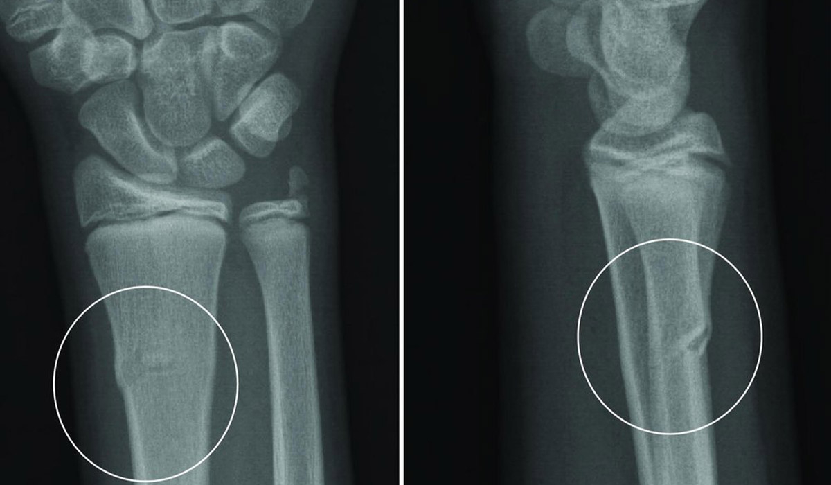
Діагноз необхідно підтвердити з допомогою рентгену. Діагностика також визначає наявність зсувів та осколків.
Основні типи переломів променевої кістки:
- Відкритий;
- Зі зміщенням;
- Осколковий (коли кістка роздроблена на осколки);
- Внутрішньосуглобний (коли травма зачіпає променезап’ястковий суглоб);
- Позасуглобовий
Більшість з них вимагають оперативного втручання.
При нескладних переломах лікар-травматолог спочатку робить спробу закритої репозиції, тобто намагається зіставити фрагменти кістки для забезпечення її кращого зрощення та накладає гіпс.
В ситуації, коли такий метод не підходить, необхідна операція, під час якої кістку скріплюють і фіксують спеціальними пластинками для променевої кістки.
Для кращого одужання після операції чи перебування в гіпсі необхідно виконувати гімнастику для пальців рук.

Українська
Язык 
