ЛІКУВАННЯ ВАЛЬГУСНОЇ ДЕФОРМАЦІЇ СТОПИ В ІВАНО-ФРАНКІВСЬКУ

Лікування вальгусної деформації стопи в Івано-Франківську
Hallux Valgus (Халюс Вальгус) або вальгусна деформація стопи – патологія, яка характеризується прогресуючим вальгусним відхиленням першого пальця стопи, в результаті чого змінюється анатомічна вісь стопи та пальців.
Hallux valgus – досить поширена патологія стопи. Причини виникнення вальгусної деформації стопи можуть бути різні, від підвищених фізичних навантажень і спадкової схильності, до надмірної ваги і слабкості зв'язок і м'язів стопи. Також, тривале носіння незручного взуття, взуття з вузьким носком і на високих підборах підвищують ризик розвитку Халюс Вальгус і посилення симптомів. Дане захворювання в більшій мірі поширене серед жінок молодого і середнього віку, які частіше використовують незручне модельне взуття.
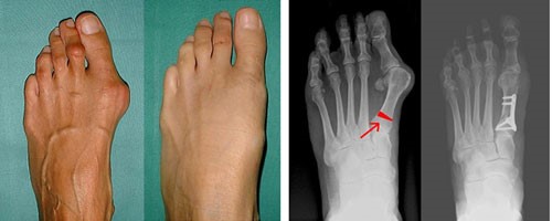
При вальгусній деформації стопи, великий палець нахиляється всередину до менших пальців, внаслідок на стопі відбувається випинання головки кістки, і формування кісточки або шишки на нозі в області нижньої частини пальця. Саме тому пацієнти часто називають патологію – кісточка або шишка на великому пальці ноги.
Слід зазначити, що поява кісточки на великому пальці ноги, це не початкова стадія розвитку Халюс Вальгус. Дана патологія розвивається поступово, і на початковому етапі ви можете помітити, що взуття, яке буле зручним, стало незручним в носінні. Надалі, пацієнти відзначають появу до кінця дня болю в стопі, яка з часом набуває більш постійний і тривалий характер.
Симптоми вальгусної деформації великого пальця стопи:
біль в першому і другому пальцях під час ходьби, а також в м'язах гомілки та нижньої частини спини
- печіння в передній частині стопи
- почервоніння шкіри і набряк внизу ноги біля кісточки
- можливе оніміння
- деформація переднього відділу стопи у вигляді утворення шишки на нозі біля великого пальця;
- труднощі носіння звичайного взуття через «шишку на кісточці», що утворилася біля основи великого пальця ноги
Як і будь-яка патологія, вальгусна деформація великого пальця стопи на ранніх стадіях краще і легше піддається лікуванню. Запущені форми Халюс Вальгус можуть привести до серйозних функціональних змін і значно ускладнити нормальну фізичну активність і рух. Через вальгусну деформацію першого пальця стопи відбувається погіршення кровопостачання та процесів іннервації в передньому відділі стопи, що призводить до розвитку артрозу і інших ортопедичних захворювань.
Методи лікування
Консервативне лікування Hallux Valgus можливе, в разі невеликих змін в структурі стопи, але не завжди зберігає тривалий ефект.
Консервативні методи лікування Hallux Valgus включають:
- застосування ортопедичних устілок та взуття
- застосування ортезів
- масаж і ЛФК м'язів гомілки
- фізіотерапевтичні процедури для зняття больових відчуттів
Якщо деформація стопи сильно виражена, ці методи малоефективні. Неоперативне лікування застосовується в основному для усунення больових відчуттів при даному захворюванні, проте не ліквідує причини його виникнення.
Оперативне лікування
Основним способом позбавлення від вальгусной деформації першого пальця стопи є операція з видалення «кісточки» на нозі, резекційна артропластика або остеотомії.

Післяопераційний період і реабілітація
В післяопераційному періоді пацієнт може самостійно, без допомоги, пересуватися в спеціальному взутті на 2-3 день після втручання.
Протягом 2 тижнів після операції необхідно дотримуватися постільного режиму. Також, виконувати комплекс вправ, рекомендованих лікарем.
Носіння ортопедичного взуття залишається обов'язковим до місяця після операції. До кінця цього терміну виконується контрольна рентгенографія для оцінки стану.
Успіх відновлення пацієнта після операції на стопі залежить безпосередньо від пацієнта, а саме від виконання ним рекомендацій, виданих лікарем.
Протипоказання
- цукровий діабет
- захворювання судин нижніх кінцівок
- ревматоїдний артрит
- інфекційні запальні процеси локального характеру

Українська
Язык 
