
Безліч людей стикаються з комплексами через низький зріст або непропорційність кінцівок. Якщо раніше такий діагноз вважався вироком, то на сьогодні операції по збільшенню зросту і подовженню ніг стали доступні.
Новоутворення, які з’являються на слизовій оболонці анального каналу чи в тканинах, що знаходяться під цією оболонкою, — це поліпи прямої кишки.
Поліпи прямої кишки зустрічаються у людей будь-якого віку. Захворювання може проявляється свербінням та дискомфортом в анальній ділянці, появою больових відчуттів, кровотечею.
Суглоби людини постійно перебувають під навантаженням, а тому сприяють запальним процесам та провокують больові відчуття. Щоб визначити причину дискомфорту і болю, для тактики лікування або для подальшого обстеження призначають УЗД суглобів.
УЗД суглобів - це один з методів діагностики, який дозволяє контролювати процес лікування і відстежувати його результативність.
Очікування маленького дива найпрекрасніший період у житті жінки.
Для будь-якої жінки період підготовки до народження дитини є одним з найбільш важливих моментів в житті. Здоров'я жінки та майбутньої дитини багато в чому залежить від вибору клініки, які якісно та дбайливо спостерігатимуть за вагітністю протягом всього терміну, нададуть кваліфіковану допомогу і грамотні поради.
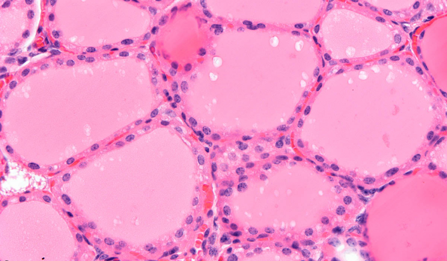
Інтраопераційне гістологічне експрес-дослідження — дослідження видаленого зразка пухлини щитоподібної залози патогістологом, який повідомляє результат хірургу під час операції, що дозволяє коригувати тактику оперативного втручання в реальному часі.