
Упродовж сотень років відкрита хірургія використовувалася для лікування широкого спектра захворювань та травм. Операції рятували та продовжують рятувати мільйони життів. Однак під час традиційного хірургічного втручання, щоб отримати доступ до операційного поля, лікарю потрібно зробити великий розріз, а це пов’язано зі значною травмою для організму. Крім цього, існує високий ризик виникнення кровотечі та інфекції, а після операції залишається помітний рубець. Але головний недолік традиційної хірургії – тривале післяопераційне відновлення. Саме тому багато пацієнтів всіляко відтягують час і не наважуються лягати на планову операцію, боячись надовго випасти зі звичного ритму життя.
Для оцінки стану і діагностування захворювань сечівника і сечового міхура, лікарі урологи проводять таке обстеження як цистоскопія.
Цистоскопія - це ендоскопічне дослідження стінок уретри, сечового міхура і виходів сечоводів. Під час діагностичної процедури оцінюється функціонування органів сечостатевої системи. Крім того, при виявленні будь-яких патологій, під час цистоскопії лікар може зробити забір біоматеріалу для подальшої біопсії, видалити поліпи.
СТОСН – один з найбільш універсальних сексопатологічних синдромів, який дуже часто діагностується у чоловіків, які звертаються за сексологічною допомогою. Синдром тривожного очікування сексуальної невдачі (СТОСН) є обсесивно-фобічним неврологічним розладом.
Для багатьох з нас слово холестерин явно має негативне забарвлення і асоціюється, перш за все, з фаст-фудом й іншою нездоровою їжею.
Турбота про запобігання небажаній вагітності у нашій країні вважається суто жіночою проблемою. За даними статистики, у 75% подружніх пар про контрацепцію дбає жінка. Тим часом у європейських країнах і США чоловіча контрацепція популярна серед подружніх пар. Зокрема, вазектомія третя з методів запобігання після протизаплідних таблеток для жінок і використанням презервативів.
В організмі людини по ходу проходження лімфатичних судин розташовуються вузли, які являють собою справжні фільтри, де відбувається фільтрація і знешкодження чужорідних речовин.
Мамопластика – це можливість для жінок назавжди позбутися комплексів. Після пластики грудей пацієнтка набуває психологічний комфорт та впевненість у сексуальній привабливості. Пластична операція грудей дозволяє пацієнтці навіть після хірургічного лікування онкології відчути себе жінкою.
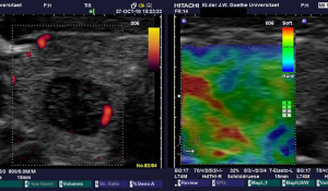
Еластографія – один з найбільш сучасних методів ультразвукової діагностики, який дозволяє оцінити пружність тканин. Це корисний інструмент для дослідження поверхнево розташованих органів (молочних і слинних залоз, лімфовузлів, м’яких тканин), а також оцінки ступінь фіброзу при хронічних захворюваннях печінки.
УЗД передміхурової залози – ефективний метод контролю стану даного органу, що дозволяє виявити зміну в його розмірах і стані тканин.
Передміхурова залоза – орган, який розташований біля вершини сечового міхура і являє собою гладком’язову і залозисту структуру. Простата грає дуже важливу екзокринну й ендокринну функцію в тілі чоловіка.
Часом, організм людини може стати джерелом відновлення та омолодження сам для себе.
Людський організм має нескінченні можливості для лікування за допомогою власних ресурсів. Плазмоліфтинг внаслідок активних властивостей тромбоцитів відновлює організм у цілому на відміну від ліків, що діють тільки на симптоми захворювання. Поєднання методу плазмоліфтинга з класичними способами лікування значно підвищує його ефективність і скорочує тривалість захворювання.