27 серп. 2018
Як правильно діяти при невідкладних станах на природі, коли поруч немає лікаря? Літо – це прекрасна пора пікніків на природі, ночівель у лісі чи горах. Тепла погода сприяє активному відпочинку. Що ж робити, якщо під час такого відпочинку вам у вухо залізла комаха? Це може трапитись, до речі, і вдома.
24 черв. 2018
Успішний досвід використання пластичної хірургії в МЦ «МЕДХАУЗ» До пластичного хірурга люди приходять з певним комплексом, якого хочуть позбутися. Трапляється й так, що для інших їхні недоліки непомітні, але нашим пацієнтам неодмінно потрібні зміни.
15 черв. 2017
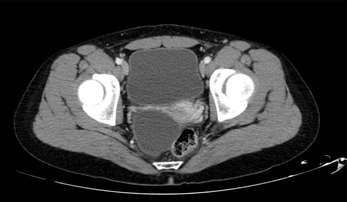
Бартолінова залоза знаходиться в присінку піхви. Її функція - зволожувати вхід в піхву при статевому збудженні. Завдяки цій залозі в жінки з’являються прозорові слизові виділення, які пом'якшують статевий акт. Причиною закупорювання залози можуть стати здебільшого інфекційні захворювання. Як наслідок, слиз накопичується у залозі, але не виходить. Вміст такої кісти може бути як слизовий так і гнійний, все залежить від причини…
Copyright © 2026 Медичний центр MEDHOUSE. Всі права захищені.